Teeth Whitening Waco
★★★★★ 300+ 5-Star Reviews
Whiten Your Teeth
By Up To 16 Shades
Fast Results | Take-Home Kits Available | Financing Accepted
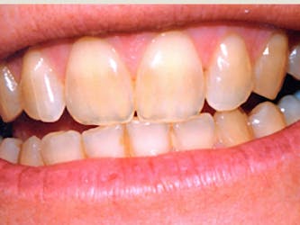
Safe, Effective, and Fast The In-Office Difference
- Safe for patients aged 14 to 90
- Effective against deep staining, including tetracycline stains
- Minimized sensitivity thanks to a specialized gel formula
- Faster than any at-home treatment

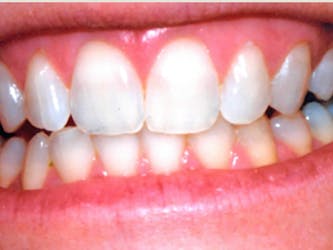
Brighten Your Smile at Home With Customized Trays
The KöR Whitening Deep Bleaching™ System uses customized trays and a patented bleaching gel to deliver stunning results in a short amount of time. Our system is designed with your comfort and convenience in mind. Here’s what patients love about our at-home option:
- Trays are custom-fitted and won’t leak
- Remove deep stains caused by tea, coffee, wine, and smoking
- No special lights or lasers
The Best Way to Enjoy a White Smile Is With Our Team Serving Waco and Hewitt
You know you want a whiter smile you feel excited to show the world; we know how to make that a reality. When you visit our dental office in Waco, TX, for an initial consultation, we’ll go over your smile goals to determine whether in-office treatment or a take-home kit is right for you. To get started, send us a message online or give us a call.
“CTDC is the most efficient doctor or dental office that I’ve ever been to…The entire staff and the doctors that have treated me have the best attitude and truly seem to care for their patients.” - Linda H., 2025

Budget for Your Care With CareCredit Financing
Though whitening is one of the most affordable cosmetic dentistry treatments, some patients still opt for flexible financing. That’s where CareCredit® comes in.
With this trusted lender, you won’t have to pay for teeth whitening treatment at our Hewitt office all at once. You’ll be able to split up payments into manageable monthly installments. Contact us today to learn more about this financing option.
A Step-By-Step Look at Our In-Office Whitening Process
Achieve your smile goals in just a few appointments
Frequently Asked Questions About Teeth Whitening in Hewitt
What’s the difference between extrinsic and intrinsic stains?
Extrinsic stains are caused by deeply pigmented foods and drinks and smoking and affect the outermost layer of your teeth — your enamel. Professional teeth whitening is effective in eradicating this type of superficial discoloration.
Intrinsic stains, however, impact the inner layers of your teeth and can be caused by medications and health conditions. While KöR is more effective at treating these types of stains than other professional whitening systems, tooth-colored crowns or veneers may still be recommended for the best results.
Is tooth sensitivity normal after a whitening treatment?
No, your teeth should not feel sensitive after a professional whitening treatment. With KöR whitening, you’ll enjoy all the benefits of teeth bleaching without the damaging effects of store-bought treatments.
How can I maintain my whitening results?
Your dentist will provide you with trays to take home for periodic maintenance, helping your new smile last for many years to come.
To minimize damage to your teeth, it’s a good idea to use a soft-bristled brush with lukewarm water when cleaning your teeth, and avoid hot or cold foods for at least a day. We also recommend increasing the time between treatments, lowering the amount of time spent whitening, and using less-concentrated bleaching gel.
High Praise for Our Team Serving Hewitt, Waco, and Beyond
I got my teeth cleaned yesterday, as usual Sally did a great job. I don’t have to wait for them, they are always ready.
View On Google